Damit ihr Kind nicht erst faule Zähne
(Karies) bekommt, vorab einige Informationen:
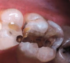
Karies entsteht durch Übertragung, wie z.B. eine Erkältung oder andere Infektionserkrankungen. Kinder bekommen Bakterien, die Karies verursachen, meistens von den Eltern oder anderen Kontaktpersonen übertragen. Wenn Sie und Ihre nähere Umgebung keine Kariesbakterien haben, bekommt Ihr Kind auch keine.
Die ersten durchbrechenden Zähnchen putzen Sie mit einem Wattestäbchen.
Gestatten sie kein Dauernuckeln; auch nicht mit Wasser oder Tee.
Gehen Sie mit Ihrem Kind ab dem 2.Lebensjahr zum Zahnarzt, damit es sich an die Umgebung gewöhnt. Ist später einmal eine Behandlung notwendig, ist es für das Kind viel einfacher in der nun vertrauten Umgebung.
Sie haben eine enorme Vorbildfunktion
für Ihr Kind. Pflegen sie daher Ihre Zähne im Beisein
Ihres Kindes, um den Nachahmungstrieb auszunutzen.
Eine individuell festgelegte Fluoridierung
härtet und schützt die durchbrechenden Zähne.
Hier finden sie ausführliche Informationen zu:
Wie entsteht Karies und was kann ich dagegen tun


